Table of Contents



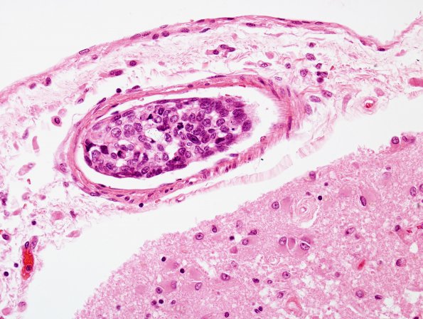
Washington University Experience | VASCULAR | Infarct - Embolic | 11C2 Infarct, embolic, Adenoid Cystic CA (Case 11) H&E 1

11C2 Infarct, embolic, Adenoid Cystic CA (Case 11) H&E 1
An intravascular tumor embolus (H&E)


Gallery RSS RSS Feed | Archive View | Login | Powered by Zenphoto