Table of Contents
« prev
next »
Washington University Experience
|
VASCULAR
|
Infarct - Embolic
|
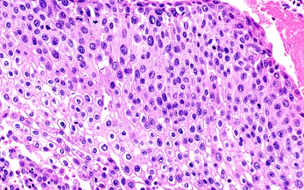
23B3 Heart (Case 23) H&E 1GRV3 40X
The tumor has a squamous appearance and numerous mitotic figures. (H&E)
Image Info
Camera Maker:
Olympus
Camera Model:
DP74
Shutter Speed:
44/8413 sec
Metering Mode:
Multi-Spot
Gallery RSS
|
Archive View
|
Login
|
Powered by
Zenphoto