Table of Contents
« prev
next »
Washington University Experience
|
VASCULAR
|
Infarct - Embolic
|
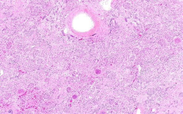
23D1 Kidney (Case 23) H&E 1L2 4X A
23D1,2 Tumor emboli are numerous in both kidneys. (H&E)
Image Info
Camera Maker:
Olympus
Camera Model:
DP74
Shutter Speed:
7/12500 sec
Metering Mode:
Multi-Spot
Gallery RSS
|
Archive View
|
Login
|
Powered by
Zenphoto