Table of Contents



Washington University Experience | VASCULAR | Infarct - Embolic | 23E Infarct tumor embolus (Case 23) T2 FLAIR - Copy

23E Infarct tumor embolus (Case 23) T2 FLAIR - Copy
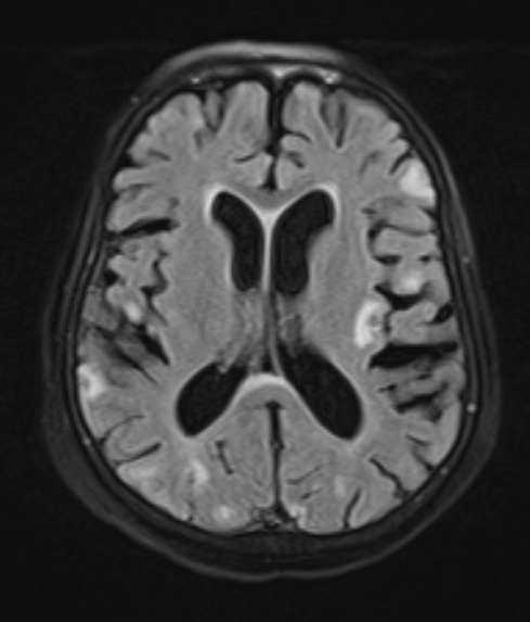
A T2-weighted FLAIR scan shows numerous cerebral lesions, many at the cortical gray/white matter junction.


Gallery RSS RSS Feed | Archive View | Login | Powered by Zenphoto