Table of Contents
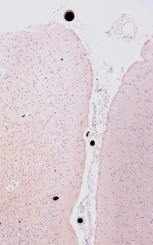
Washington University Experience | VASCULAR | Infarct - Embolic | 23G5 Infarct tumor embolus (Case 23) N5 CK5.6 10X
The same areas shown in images #23G1-3 stained with cytokeratin 5/6. There are emboli involving very small vessels demonstrated by immunohistochemistry. (CK5/6 IHC)
