Table of Contents
Washington University Experience | VASCULAR | Infarct - Embolic | 23K2 Infarct tumor embolus (Case 23) N13 4X
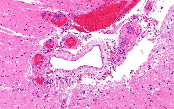
2 An infarct is accompanied by focal hemorrhages adjacent to tumor emboli. (H&E) ---- Comment: While it is unclear is how the tumor thrombus came to be present in the right ventricle, a patent foramen ovale would facilitate paradoxical embolism. Additionally, the original lung neoplasm may have eroded the pulmonary vasculature and seeded the brain with the possible participation of chemoradiation therapy. Lung cancer is one of the most common primary malignancies to metastasize to the heart.
