Table of Contents



Washington University Experience | VASCULAR | Infarct - Embolic | 3C5 Infarcts, embolic, septic (Case 3) H&E 3

3C5 Infarcts, embolic, septic (Case 3) H&E 3
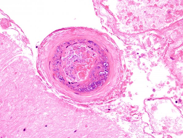
An associated embolus. (H&E)


Gallery RSS RSS Feed | Archive View | Login | Powered by Zenphoto