Table of Contents
« prev
next »
Washington University Experience
|
VASCULAR
|
Infarct - Embolic
|
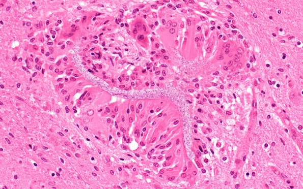
6B8 Infarcts, embolic (Hypoplastic Hrt x surgeries, Case 6) N20 40X
Higher magnification of vessel in image #5B7 showing granular foreign material (H&E)
Image Info
Camera Maker:
Olympus
Camera Model:
DP74 #1
Shutter Speed:
27/6250 sec
Metering Mode:
Average
Gallery RSS
|
Archive View
|
Login
|
Powered by
Zenphoto