Table of Contents
« prev
next »
Washington University Experience
|
VASCULAR
|
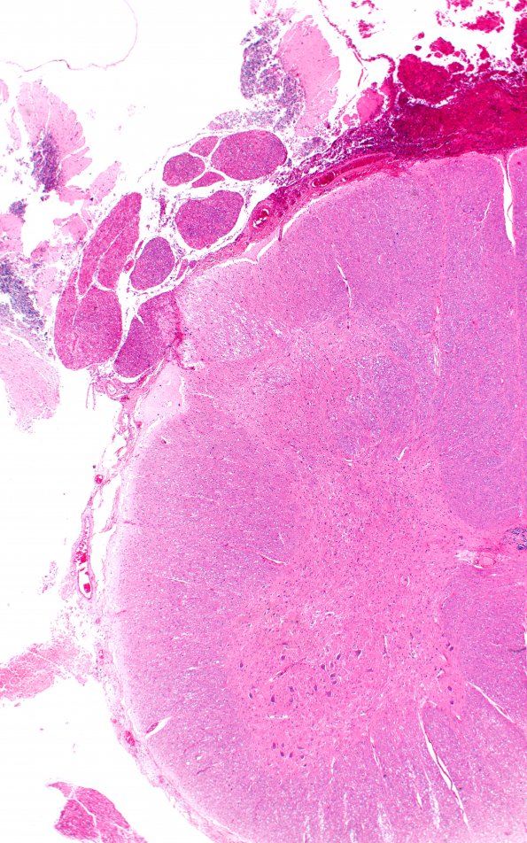
Respirator Brain (In Vivo Autolysis)
|
1B2 Autolysis, Cerebellum, necrotic in lumbosacral SAS (Case 1) H&E 2
Higher magnification view of image #1B1. (H&E)
Image Info
Camera Maker:
Olympus
Camera Model:
DP74 #1
Shutter Speed:
9/25000 sec
Metering Mode:
Average
Gallery RSS
|
Archive View
|
Login
|
Powered by
Zenphoto