Table of Contents
« prev
next »
Washington University Experience
|
VASCULAR
|
Small Vessel Disease
|
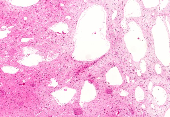
15B2 Hypertension, vasculopathy (Case 15) L6 4X
15B2,3 Higher magnification of image #15B1 (H&E)
Image Info
Camera Maker:
Olympus
Camera Model:
DP74 #1
Shutter Speed:
41/100000 sec
Metering Mode:
Average
Gallery RSS
|
Archive View
|
Login
|
Powered by
Zenphoto