Table of Contents
« prev
next »
Washington University Experience
|
VASCULAR
|
Small Vessel Disease
|
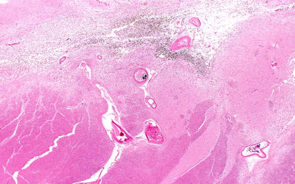
18B1 Hypertension, renal failure N2 (Case 18) H&E 2X
Low magnification image of the right caudate nucleus shows an area of infarct and hemorrhage. (H&E)
Image Info
Camera Maker:
Olympus
Camera Model:
DP74 #1
Shutter Speed:
31/100000 sec
Metering Mode:
Average
Gallery RSS
|
Archive View
|
Login
|
Powered by
Zenphoto