Table of Contents
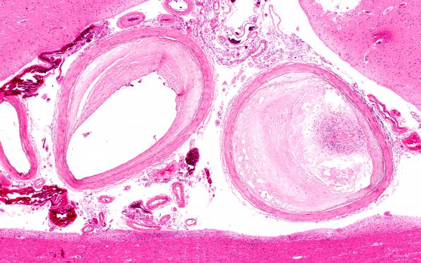
Washington University Experience | VASCULAR | Small Vessel Disease | 19E1 Atherosclerosis, DM & HT (Case 19) N13 4X
19E1,2 The anterior cerebral arteries further away from the site shown in 19D1 showing prominent atherosclerosis.
