Table of Contents
« prev
next »
Washington University Experience
|
VASCULAR
|
Small Vessel Disease
|
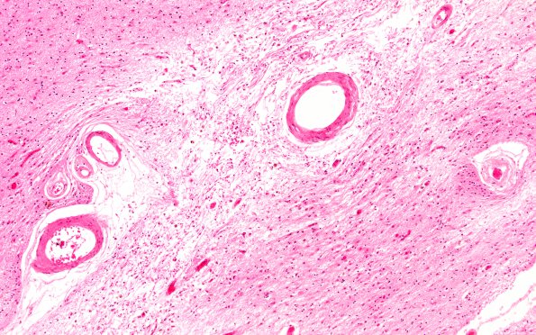
19F3 Atherosclerosis, DM & HT (Case 19) N4 H&E 10X
Higher magnification image of the thalamic vasculature and infarcts (H&E)
Image Info
Camera Maker:
Olympus
Camera Model:
DP74 #1
Shutter Speed:
29/47541 sec
Metering Mode:
Average
Gallery RSS
|
Archive View
|
Login
|
Powered by
Zenphoto