Table of Contents
« prev
next »
Washington University Experience
|
VASCULAR
|
Small Vessel Disease
|
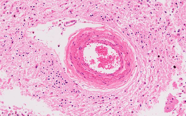
1B4 Small vessel Dz (Case 1) N2 H&E 20X 1
Close-up of arteriosclerotic vessel (H&E)
Image Info
Camera Maker:
Olympus
Camera Model:
DP74 #1
Shutter Speed:
11/10000 sec
Metering Mode:
Average
Gallery RSS
|
Archive View
|
Login
|
Powered by
Zenphoto