Table of Contents
« prev
next »
Washington University Experience
|
VASCULAR
|
Small Vessel Disease
|
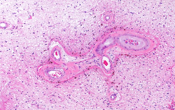
20A2 Arteriolosclerosis (Case 20) N1 H&E 1
Higher magnification of an arteriolosclerotic vessel in the vicinity of the microscopic infarct. (H&E)
Image Info
Camera Maker:
Olympus
Camera Model:
DP74 #1
Shutter Speed:
7/12500 sec
Metering Mode:
Average
Gallery RSS
|
Archive View
|
Login
|
Powered by
Zenphoto