Table of Contents
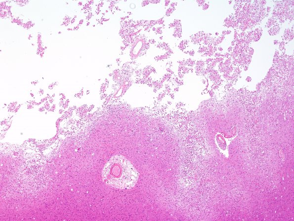
Washington University Experience | VASCULAR | Small Vessel Disease | 4A3 Hemorrhage, infarcts, arteriolosclerosis, hypertension (Case 4) H&E N15 2
4A3,4 At the margins of the infarct numerous arteriosclerotic vessels are prominent. (H&E)
