Table of Contents



Washington University Experience | VASCULAR | Small Vessel Disease | 6B2 Infarcts, small vessels, HT 45 yo (Case 6) H&E 4

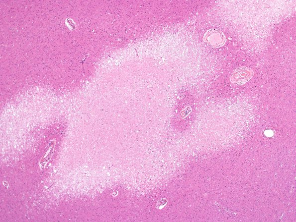
6B2 Infarcts, small vessels, HT 45 yo (Case 6) H&E 4
6B2,3 Higher magnification of image #6B1 showing arteriosclerotic vessels (H&E)


Gallery RSS RSS Feed | Archive View | Login | Powered by Zenphoto