Table of Contents
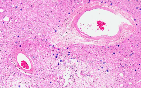
Washington University Experience | VASCULAR | Subcortical Arteriosclerotic Encephalopathy | 1B1B Binswanger's Dz (Case 1) R36 H&E 20X 1
1B1B,C Arteriosclerotic thickened vessels of multiple sizes are involved adjacent to (1B1B) or within cystic infarcts (1B1C) (H&E)
