Table of Contents
« prev
next »
Washington University Experience
|
VASCULAR
|
Subcortical Arteriosclerotic Encephalopathy
|
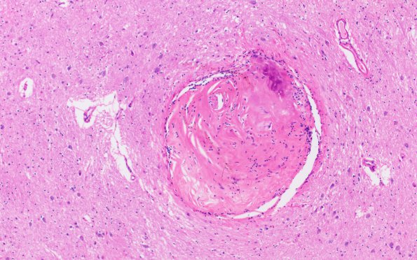
1C3 Binswanger's Dz (Case 1) H&E 10X 2
Higher magnification image of thickened sclerotic vessels which appear aneurysmal (H&E)
Image Info
Camera Maker:
Olympus
Camera Model:
DP74 #1
Shutter Speed:
7/12500 sec
Metering Mode:
Average
Gallery RSS
|
Archive View
|
Login
|
Powered by
Zenphoto