Table of Contents



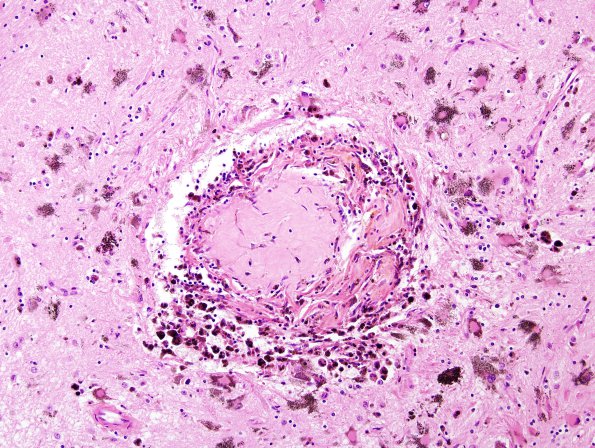
Washington University Experience | VASCULAR | Subcortical Arteriosclerotic Encephalopathy | 1C9 Charcot Bouchard (Case 1) L17 H&E 4

1C9 Charcot Bouchard (Case 1) L17 H&E 4
Additional image of vasculopathy/Charcot-Bouchard aneurysms.


Gallery RSS RSS Feed | Archive View | Login | Powered by Zenphoto