Table of Contents
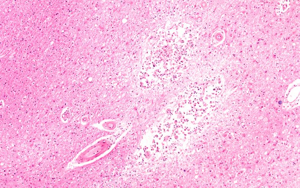
Washington University Experience | VASCULAR | Subcortical Arteriosclerotic Encephalopathy | 2B2 Binswanger's Dz (Case 2) H&E N5 10X 2
2B2,3 Higher magnification shows infarcts with astrocytosis, macrophages and arteriosclerosis (H&E)
