Table of Contents



Washington University Experience | VASCULAR | Subcortical Arteriosclerotic Encephalopathy | 4D2 Binswanger's Dz (Case 4) basal ganglia H&E 2

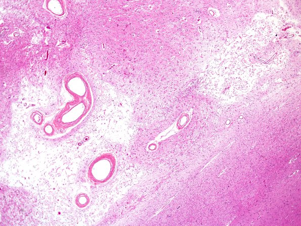
4D2 Binswanger's Dz (Case 4) basal ganglia H&E 2
Cystic tissue loss is accompanied by arteriosclerosis in the basal ganglia (H&E)


Gallery RSS RSS Feed | Archive View | Login | Powered by Zenphoto