Table of Contents
« prev
next »
Washington University Experience
|
VASCULAR
|
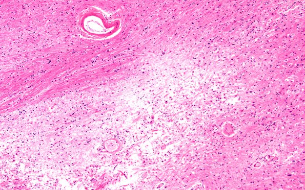
Subcortical Arteriosclerotic Encephalopathy
|
6B2 (Case 6) H&E 10X 1
Higher magnification image of #6B2. (H&E)
Image Info
Camera Maker:
Olympus
Camera Model:
DP74 #1
Shutter Speed:
7/12500 sec
Metering Mode:
Average
Gallery RSS
|
Archive View
|
Login
|
Powered by
Zenphoto