Table of Contents
« prev
next »
Washington University Experience
|
VASCULAR
|
Telangiectasis
|
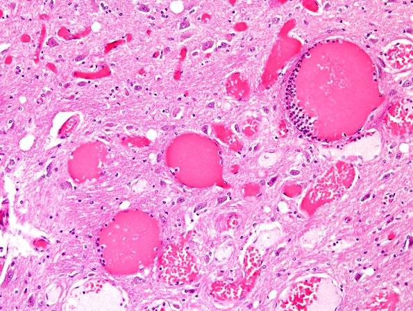
13B3 Telangiectasis (Case 13) H&E 10X.jpg
Notice the large number of thin walled vessels of variable dimensions (H&E)
Image Info
Camera Maker:
Olympus Corporation
Camera Model:
DP70
Original Time Taken:
01-12-2014
Shutter Speed:
1/850 sec
ISO Sensitivity:
200
Metering Mode:
Spot
Gallery RSS
|
Archive View
|
Login
|
Powered by
Zenphoto