Table of Contents
« prev
next »
Washington University Experience
|
VASCULAR
|
Telangiectasis
|
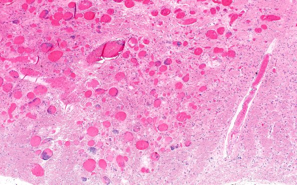
27B3 Telangiectasis (Case 27) N7 H&E 4X
The lesion is shown at multiple magnifications and in its typical distribution. (H&E)
Image Info
Camera Maker:
Olympus
Camera Model:
DP74
Shutter Speed:
9/7438 sec
Metering Mode:
Multi-Spot
Gallery RSS
|
Archive View
|
Login
|
Powered by
Zenphoto