Table of Contents
« prev
next »
Washington University Experience
|
VASCULAR
|
Telangiectasis
|
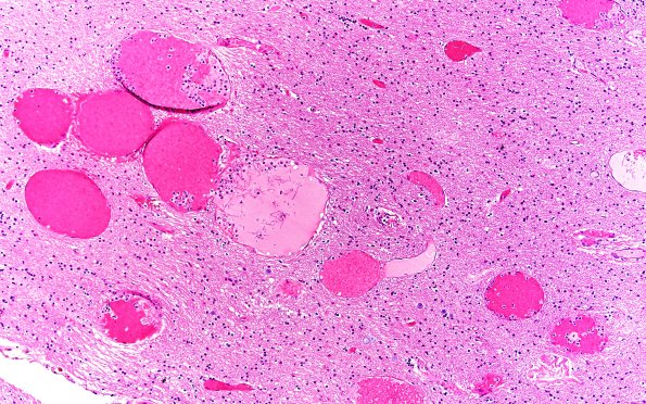
28B3 Telangiectasis (Case 28) H&E A
A section of cortex shows the composition by large numbers of dilated thin walled vessels with a uniform composition (H&E).
Image Info
Camera Maker:
Olympus
Camera Model:
DP74 #1
Shutter Speed:
17/5000 sec
Metering Mode:
Average
Gallery RSS
|
Archive View
|
Login
|
Powered by
Zenphoto