Table of Contents
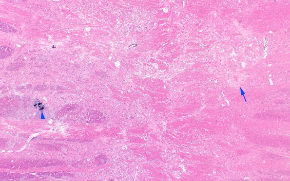
Washington University Experience | VASCULAR | Telangiectasis | 29A2 Telaniectasis (Case 29) 2X copy
The central pons is pale with an apparent increase in vascular channels, and focal areas with calcifications (arrowhead, 29A2) and disruption of transverse axons (arrow). (H&E)
