Table of Contents
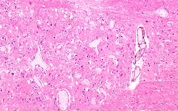
Washington University Experience | VASCULAR | Telangiectasis | 29A3 Telaniectasis (Case 29) 10X
29A3,4 A close-up shows a cluster of thin walled vessels, surrounded by intact pontine neurons, focal deposition of hemosiderin containing perivascular macrophages and absence of reactive astrocytosis. (H&E)
