Table of Contents
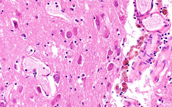
Washington University Experience | VASCULAR | Telangiectasis | 29A4 Telaniectasis (Case 29) 40X 2
A close-up shows a cluster of thin walled vessels, surrounded by intact pontine neurons, focal deposition of hemosiderin containing perivascular macrophages and absence of reactive astrocytosis. (H&E)
