Table of Contents
« prev
next »
Washington University Experience
|
VASCULAR
|
Telangiectasis
|
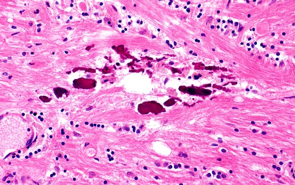
29A6 Telaniectasis (Case 29) 40X 4
29A6-8 Nearby there were numerous calcified spheroids, in transverse (29A6,7) and descending (29A8) axons. (H&E)
Image Info
Camera Maker:
Olympus
Camera Model:
DP74
Shutter Speed:
29/6250 sec
Metering Mode:
Multi-Spot
Gallery RSS
|
Archive View
|
Login
|
Powered by
Zenphoto