Table of Contents
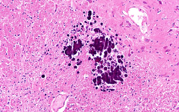
Washington University Experience | VASCULAR | Telangiectasis | 29A8 Telaniectasis (Case 29) 20X
Nearby there were numerous calcified spheroids in descending axons. (H&E) ---- I think this is an atypical telangiectasis with a typical location, appropriate thin walled vascular elements and preservation of adjacent neurons. The focal damage to adjacent fiber tracts is unusual since most telangiectasias do not disturb surrounding tissue. Yet this patient had no significant neurologic symptoms.
