Table of Contents
« prev
next »
Washington University Experience
|
VASCULAR
|
Telangiectasis
|
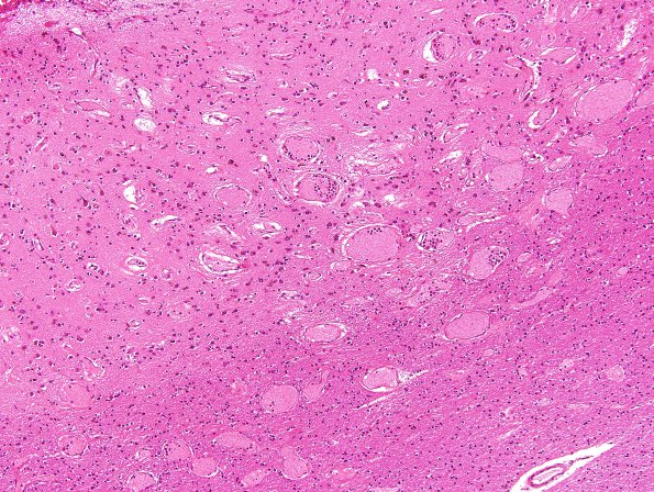
3B3 Telangiectases, multiple (Case 3) H&E 1.jpg
Higher magnification image shows a mixture of several thin walled vessels, overall most large in this image (H&E).
Image Info
Camera Maker:
Olympus Corporation
Camera Model:
DP70
Original Time Taken:
06-12-2014
Shutter Speed:
1/560 sec
ISO Sensitivity:
200
Metering Mode:
Spot
Gallery RSS
|
Archive View
|
Login
|
Powered by
Zenphoto