Table of Contents



Washington University Experience | VASCULAR | Ulegyria | 10E2 Ulegyria & PTLD (Case 10) N15 H&E 3

10E2 Ulegyria & PTLD (Case 10) N15 H&E 3
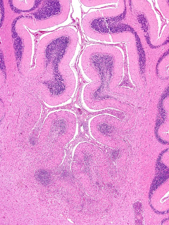
At several magnifications the significant granule and Purkinje cell loss continues to show involvement of sulcal depths. (H&E)


Gallery RSS RSS Feed | Archive View | Login | Powered by Zenphoto