Table of Contents



Washington University Experience | VASCULAR | Ulegyria | 2B3 Ulegyria (Case 2) H&E 2

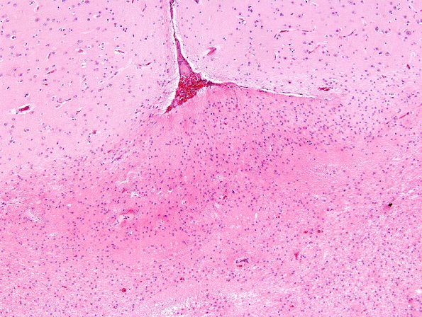
2B3 Ulegyria (Case 2) H&E 2
The sulcus reaches white matter without interruption by cortical gray matter (H&E)


Gallery RSS RSS Feed | Archive View | Login | Powered by Zenphoto