Table of Contents
« prev
next »
Washington University Experience
|
VASCULAR
|
Vasculitis - Giant Cell Arteritis
|
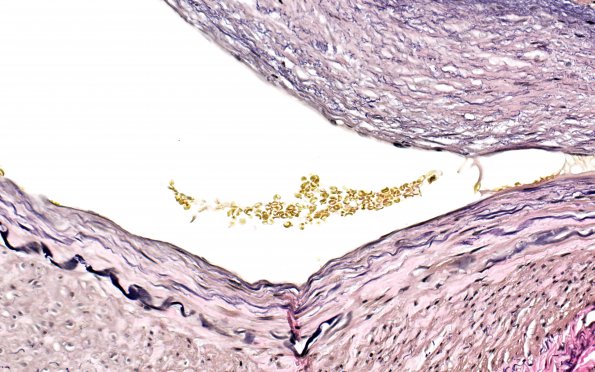
5E8 Vasculitis, temporal artery, healed (Case 5) Area A VVG 40X 2
Notice the loss and fragmentation of the internal elastic lamina. (VVG)
Image Info
Camera Maker:
Olympus
Camera Model:
DP74 #1
Shutter Speed:
4/883 sec
Metering Mode:
Average
Gallery RSS
|
Archive View
|
Login
|
Powered by
Zenphoto