Table of Contents
« prev
Washington University Experience
|
VASCULAR
|
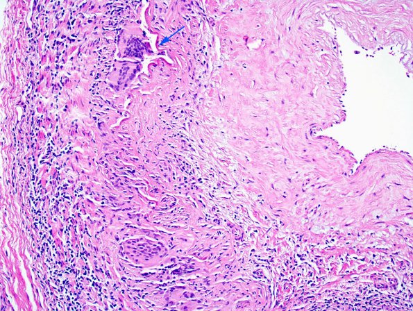
Vasculitis - Giant Cell Arteritis
|
7A2 Temporal Arteritis (Case 7) 4 copy
Higher magnification of image #7A2. (H&E)
Image Info
Camera Maker:
Olympus Optical Co.,ltd.
Camera Model:
DP70
Original Time Taken:
01-09-2008
Shutter Speed:
1/630 sec
ISO Sensitivity:
200
Metering Mode:
Spot
Gallery RSS
|
Archive View
|
Login
|
Powered by
Zenphoto