Table of Contents
Washington University Experience | VASCULAR | Vasculitis - PACNS | 17A1 Vasculitis (Case 17) FLAIR - Copy
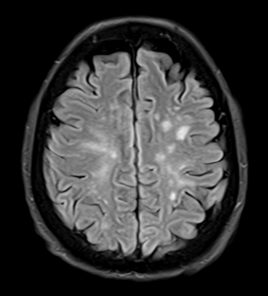
Case 17 History ---- The patient is a 56-year-old woman with a history of altered mental status and several areas of perivascular enhancement on imaging involving the centrum semiovale, pons, and basal ganglia. The clinical differential includes a vasculitic process and lymphoma. Operative Procedure: Open brain biopsy. ---- 17A1 Numerous hyperintense, largely white matter lesions are seen in this FLAIR MRI scan.
