Table of Contents



Washington University Experience | VASCULAR | Vasculitis - PACNS | 17A2 Vasculitis (Case 17) T2noC 2 - Copy

17A2 Vasculitis (Case 17) T2noC 2 - Copy
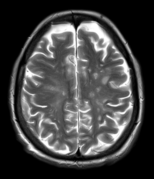
A T2 weighted MRI without contrast shows hyperintense lesions with a predilection for the white matter.


Gallery RSS RSS Feed | Archive View | Login | Powered by Zenphoto