Table of Contents
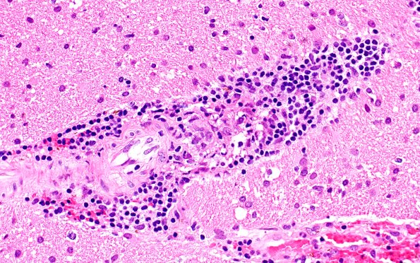
Washington University Experience | VASCULAR | Vasculitis - PACNS | 17B4 Vasculitis (Case 17) H&E 40x 2
Numerous parenchymal vessels, both arteriolar and venous, showed a lymphohistiocytic infiltrate and various degrees of occlusion. Vessels had only minimal angionecrosis and equivocal fibrin deposition. (H&E)
