Table of Contents
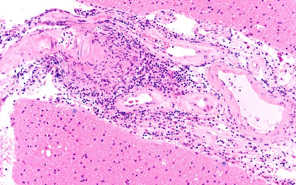
Washington University Experience | VASCULAR | Vasculitis - PACNS | 17B6 Vasculitis (Case 17) H&E 20x 2
Leptomeningeal vessels encountered were typically larger than parenchymal vessels and showed a similar lymphohistiocytic infiltrate, in some cases superimposed on thickened hyalinized small vessels. (H&E)
