Table of Contents
« prev
next »
Washington University Experience
|
VASCULAR
|
Vasculitis - PACNS
|
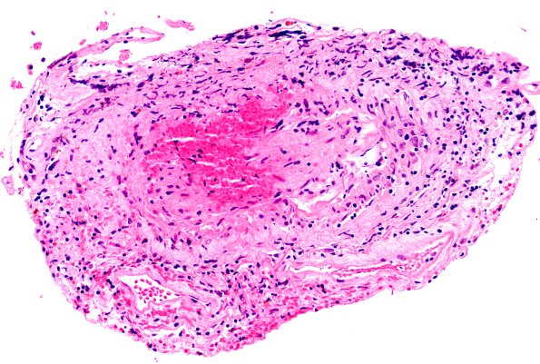
17B7 Vasculitis (Case 17) H&E 20x 4
17B7,8 There appear to be crumbs of nuclei in some foci of this arteriole consistent with a degree of angionecrosis. (H&E)
Image Info
Camera Maker:
Olympus
Camera Model:
DP74
Shutter Speed:
21/20000 sec
Metering Mode:
Multi-Spot
Gallery RSS
|
Archive View
|
Login
|
Powered by
Zenphoto