Table of Contents
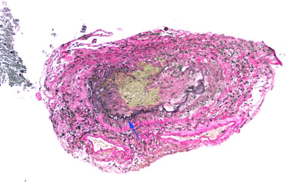
Washington University Experience | VASCULAR | Vasculitis - PACNS | 17C2 Vasculitis (Case 17) VVG 20X 3 copy
17C2,3 Two magnifications of the same small arteriole showing disruption of the internal elastic lamina (arrow, 7C2). (Elastin)
