Table of Contents
« prev
next »
Washington University Experience
|
VASCULAR
|
Vasculitis - PACNS
|
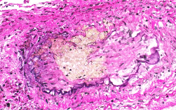
17C3 Vasculitis (Case 17) VVG 40X 4
Two magnifications of the same small arteriole showing disruption of the internal elastic lamina (arrow, 7C2). (Elastin)
Image Info
Camera Maker:
Olympus
Camera Model:
DP74
Shutter Speed:
21/2000 sec
Metering Mode:
Multi-Spot
Gallery RSS
|
Archive View
|
Login
|
Powered by
Zenphoto