Table of Contents
« prev
next »
Washington University Experience
|
VASCULAR
|
Vasculitis - PACNS
|
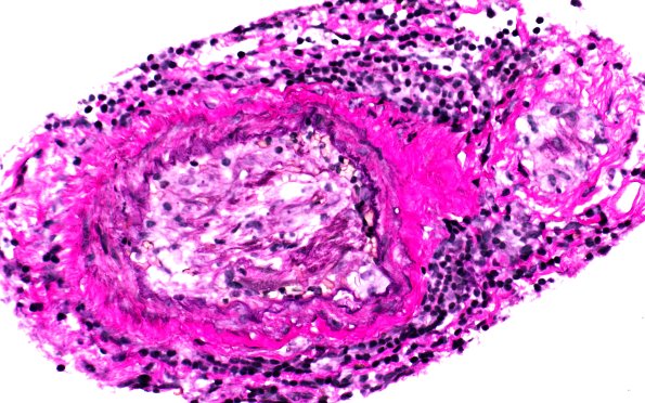
17C4 Vasculitis (Case 17) VVG 40X 3
The vessel shows disruption of the internal elastic lamina and the vessel lumen may be organized. (Elastin)
Image Info
Camera Maker:
Olympus
Camera Model:
DP74
Shutter Speed:
1/100 sec
Metering Mode:
Multi-Spot
Gallery RSS
|
Archive View
|
Login
|
Powered by
Zenphoto