Table of Contents
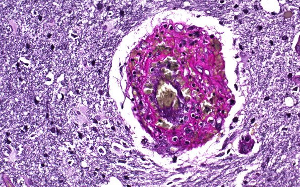
Washington University Experience | VASCULAR | Vasculitis - PACNS | 17C5 Vasculitis (Case 17) VVG 40X
The residua of an elastic lamina continues to be present but is surrounded by a cribriform fibrotic pattern. This is the same vessel as #17B3. (Elastin)
