Table of Contents
« prev
next »
Washington University Experience
|
VASCULAR
|
Vasculitis - PACNS
|
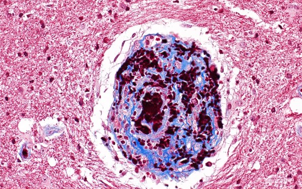
17D2 Vasculitis (Case 17) TRI 40X 2
The same vessel as image #17C5 and 17B3 stained for collagen, demonstrating mural fibrosis and its complexity. (Trichrome).
Image Info
Camera Maker:
Olympus
Camera Model:
DP74
Shutter Speed:
41/9276 sec
Metering Mode:
Multi-Spot
Gallery RSS
|
Archive View
|
Login
|
Powered by
Zenphoto