Table of Contents
« prev
next »
Washington University Experience
|
VASCULAR
|
Vasculitis - PACNS
|
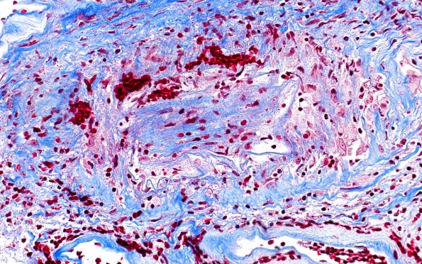
17D4 Vasculitis (Case 17) TRI 40X 3
The image shows deposition of collagen within the lumen, intima and vascular media. (Trichrome)
Image Info
Camera Maker:
Olympus
Camera Model:
DP74
Shutter Speed:
30/7109 sec
Metering Mode:
Multi-Spot
Gallery RSS
|
Archive View
|
Login
|
Powered by
Zenphoto