Table of Contents
« prev
next »
Washington University Experience
|
VASCULAR
|
Vasculitis - PACNS
|
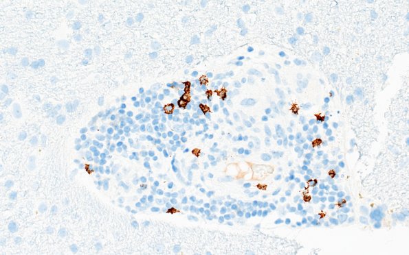
17E2 Vasculitis (Case 17) CD20 40X
The perivascular infiltrate consists of smaller numbers of bland B Cells (CD20).
Image Info
Camera Maker:
Olympus
Camera Model:
DP74
Shutter Speed:
30/7109 sec
Metering Mode:
Multi-Spot
Gallery RSS
|
Archive View
|
Login
|
Powered by
Zenphoto