Table of Contents
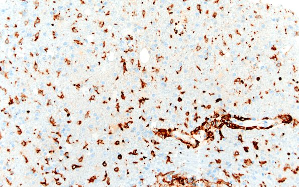
Washington University Experience | VASCULAR | Vasculitis - PACNS | 17G2 Vasculitis (Case 17) CD163 20X 1
17G2-6 Higher magnification images of the elements shown in image #17G1. Note that the microglial and macrophage infiltrates are focused around the microvasculature and taper off with distance from a vessel. This provides a hint that the microvasculature is the nidus for the pathologic process.
