Table of Contents
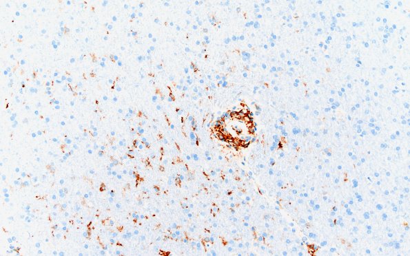
Washington University Experience | VASCULAR | Vasculitis - PACNS | 17G3 Vasculitis (Case 17) CD163 20X 1
Note that the microglial and macrophage infiltrates are focused around the microvasculature and taper off with distance from a vessel.
